Re-shaping edges of teeth as part of
Orthodontic Treatment
Orthodontics has been correctly described as part art, part
science and part mechanics. No other
field in my opinion balances these disciplines as well as the specialty of
Orthodontics. So it is probably no
surprise to most that Orthodontists are somewhat perfectionists. And although we strive to restore ideal
function and provide a solid and stable occlusion for each patient, we also
want to provide a beautiful smile. Sometimes this may
mean leveling the teeth, adjusting the gum level of teeth, closing spaces,
correcting rotations, reducing overjets and/or overbites, etc., etc. But one area we also can correct is the
incisal edges of teeth.
Adult with severe wear from heavy long-term hyper-occlusion. Alignment complete but incisal edges
un-supported and fragile as well as unsightly.
Following re-shaping to restore strong edges to the teeth to resist
future wear now that alignment has restored proper function.
Imagine teeth that have been sitting rotated or crooked for
years; even a teen may have front teeth for 6 to 8 years until they are
corrected. Now imagine how the edges of the upper and lower teeth abrade and
wear against each other. Over time, the
edges will start to flatten based on the opposing teeth. Then imagine that the teeth are abruptly
straightened so that all roots are parallel.
In these cases what we see is that the edges of the teeth are no longer
level (they were level relative to the original opposing teeth which are now
straightened). So the teeth after braces
are straight but the edges can be angular/un-level/flattened or even chipped.
Initial photo of a young adult with a full underbite and damage to
edges.
Once the underbite has been corrected, you can see the damage to the edges
from the previous poor occlusion.
Note that we aren’t trying to shorten all the teeth to the highest
point where the fractured edge reaches; we only want to restore any sharp edges
with a softer and stronger rounded edge.
So why are irregular edges bad? The main concern is that they will be
difficult to place into ideal function with the new position of opposing teeth. Also, teeth that are irregular and chipped
will tend to chip more due to areas of un-even enamel or sharp edges hitting
poorly with opposing teeth. Finally,
teeth with rough and uneven edges look older and worn, they will likely cause
the bite to appear asymmetric or canted to one side.
After braces removed we can see small variations in the edges that will interfere with opposing teeth as the bite is shifted forward; placing edges at risk of fracture and irregular wear.
Following re-shaping to level rough and irregular edges for better
function with interference in incisal edges when chewing side to side and front
to back. Note we are not trying to take
all of the personal character from the teeth; they are improved but the changes
remain subtle.
Can we level the gingival margins with
braces?
Braces have straightened the teeth and leveled them based on gingival
margins of the front teeth; unfortunately, previous position of the teeth led
to excessive eruption on one central incisor; pushing this incisor up would
have also pushed the gingival margin up creating an appearance of recession.
Following re-shaping of the edges.
Now the level of the gingiva can be appreciated as the edges are
re-matched.
Does re-shaping teeth hurt the teeth or
make them weaker?
Does this “hurt” the teeth?
Doesn’t “grinding the teeth down” weaken the teeth? In truth, there is no loss of strength with
minor adjustments as Orthodontists are only polishing down un-supported areas
of enamel already at risk of fracture.
Plus, it is extremely rare to get a cavity on the edge of an incisor
once placed into good function.
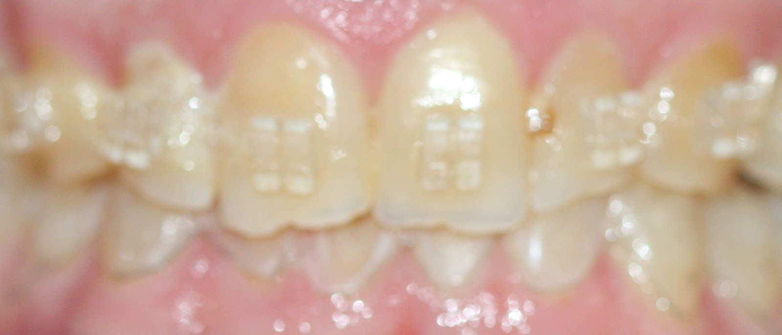
After alignment, edges show irregular developmental ridges and some
chipping.
After re-shaping to polish edges and provide solid rounded enamel for
better strength.
After re-shaping with bite closed showing the fit and occlusion with
new edges.
What is used to re-shape the edges?
Orthodontists have all of the restorative tools that general
dentists possess so they have many options based on the amount of the
re-shaping; everything from soft rubber discs to Emory-board discs to steel
burs and even diamond impregnated burs. I use Sof-Lex discs which are rubbery plastic
discs impregnated with particles of varying grits similar to fine wet-sand
paper; these are normally used to polish white composite fillings. In fact, Orthodontists can make teeth
smoother and shinier than they naturally form so you can trust the teeth will
look great when completed.
Slow speed handpiece used polish and re-shape edges; the same handpiece used for typical prophy cleanings at the dentist and to polish tooth-colored fillings. Also the same handpiece used to remove cement
Sometimes, re-shaping the teeth may be all you need to
restore a beautiful smile even without alignment of the teeth with
Orthodontics. Consider the patient below
that was the mother of an active teen patient and was simply asking about her
teeth at her son’s appointment:
Patient before any adjustments.
Patient after simply adjusting her edges with Sof-Lex discs at her son’s
Orthodontic appointment; no Orthodontics was performed.
If you are opposed to adjusting the edges, you may not receive
the most ideal correction and could experience more wear including fractures in
the future. By not re-shaping un-supported/rough
edges, you will not be maintaining any strength of the teeth but will instead
be compromising the esthetics and possibly the long-term wear and function of
the very teeth you are wishing to protect. Trust your Orthodontist; they are specialists
not only in function and alignment of teeth but in esthetics and preventing long-term
wear while reducing risks of chipping and fracture to teeth. Orthodontics is never just about lining up
teeth as many advertisers of tray systems such as Invisalign may suggest; try
not to limit your own correction by limiting the abilities and/or tools of your
Orthodontist and you will get the best and most stable smile possible.
If you have questions or comments concerning this or any
orthodontic question, please feel free to make a complimentary new-patient
appointment at either my Steiner Ranch location or my North-central Austin
location on West 35th street and MoPac.
Dr. James R. Waters is
a 1996 graduate from UTHSC Dental School in San Antonio, 1997 graduate of
Advanced Dentistry from the UNMC in Nebraska and the 2001 Valedictorian
graduate from the prestigious Saint Louis University Orthodontic Program
receiving the J.P. Marshall award for clinical excellence in 2001. He holds a Bachelor’s Degree in Science,
Doctorate in Dental Surgery, a post-doctorate certificate in Advanced
Dentistry, post-doctorate Degree in Orthodontics & Dentofacial Orthopedics
and a Master of Science Degree in Orthodontics and is a Diplomate of the
American Board of Orthodontics. Dr.
Waters and his wife of 20 years live in Austin, TX with their 4 children where
he has a thriving, multi-faceted Specialist practice with locations in Steiner
Ranch and North-Central Austin. You can
learn more about Dr. Waters at BracesAustin.com.



















